30代男性の治療例(インビザライン)


| 治療前 | 治療後 |
![]() |
![]() |
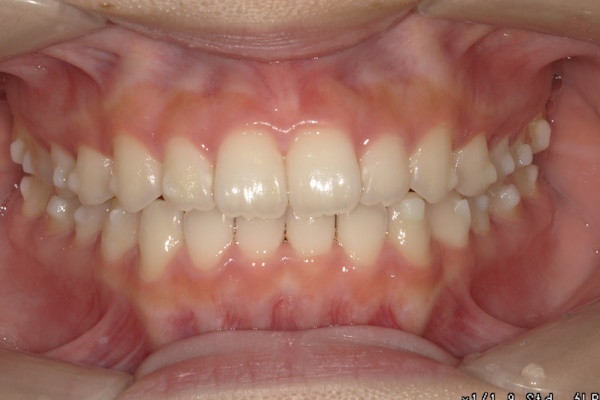
・主訴: 歯並びの乱れを治療したい
・治療内容: インビザライン
・治療期間: 約18ヵ月
・矯正費用: 880,000円
・一般的なリスクと副作用の明記: 歯根吸収、歯肉退縮、カリエス、歯周病、後戻り
品川区の五反田駅前でインビザライン矯正を受ける方へ


| 治療前 | 治療後 |
![]() |
![]() |
・主訴: 歯並びの乱れを治療したい
・治療内容: インビザライン
・治療期間: 約18ヵ月
・矯正費用: 880,000円
・一般的なリスクと副作用の明記: 歯根吸収、歯肉退縮、カリエス、歯周病、後戻り